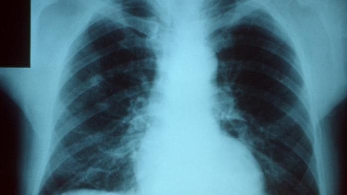
New Delhi: Pneumonia killed more than 14 children under the age of five years every hour in 2018 in India, which was among the top five countries responsible for over half of the child deaths due to the disease globally that year, a study has said.
The study – ‘Fighting for Breath in India’ – by Save the Children, UNICEF and Every Breath Counts, said pneumonia killed more than 1,27,000 under-five children in 2018.
In India, one child under the age of five years dies every 4 minutes due to pneumonia, with malnutrition and pollution as the two major contributors, Dr Rajesh Khanna, Deputy Director of Health and Nutrition, Save the Children said.
Just five countries were responsible for more than half of child pneumonia deaths – Nigeria (162,000), India (127,000), Pakistan (58,000), the Democratic Republic of Congo (40,000) and Ethiopia (32,000), it said
“Acute malnutrition is associated with more than half of childhood pneumonia deaths. Indoor air pollution contributes to 22 per cent and outdoor air pollution contributes to 27 per cent of these deaths,” he said.
Pneumonia also emerged as the world’s leading infectious killer of children, claiming the lives of more than 800,000 children under the age of five every year, more than 2,000 every day.
In India 5 per 1,000 live births under five mortality rate due to pneumonia in 2018, the study said.
“In India, 14 per cent of child deaths were due to pneumonia in 2017, and it was the second biggest killer of children under-five in 2017 (after wasting).
Pneumonia killed more than 1,27,000 children under-five in 2018 more than 14 children every hour,” the study said.
The study further said USD 16 was spent by the government on health per person in 2016 in India.
“Every day, nearly 2,200 children under the age of five die from pneumonia, a curable and mostly preventable disease. Strong global commitment and increased investments are critical to the fight against this disease,” Henrietta Fore, Executive Director of UNICEF said.
Pneumonia is caused by bacteria, viruses or fungi, and leaves children fighting for breath as their lungs fill with pus and fluid.
Globally, more children under the age of five died from pneumonia in 2018 than from any other disease. Around 437,000 children under five died due to diarrhoea and 272,000 due to malaria.
Also read: Over 8.8 lakh deaths — India on top in UNICEF report on under-5 child mortality in 2018

